Pesquisar no site


Contato

Michelle Louise
Rio de janeiro- RJ

55 (021) 7848-1660 NEXTEL: 87*33369 . .
55(021) 3169-1769

E-mail: canillabrador@gmail.com

Enquete

Qual a sua cor preferida?

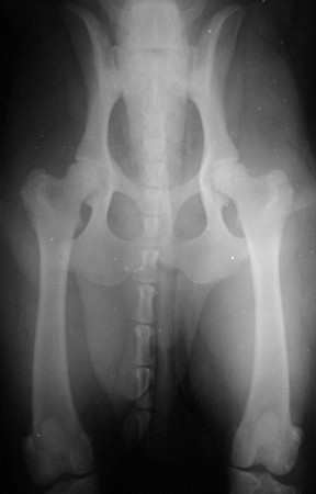
Displasia Coxo-femural

Displasia Coxo-femural

Todos os nossos cães são submetidos a radiografias coxo-femural antes de serem selecionados para o programa de reprodução, afim de controlar a disseminação desta anomalia genética.

O Médico Veterinário Responsável pelos laudos feitos em nosso canil é Dr Daniel Baudouin, profissional habilitado para tal procedimento.

Alguns laudos além de algumas informações relacionada podem ser encontradas no link:

https://www.vet-x.com/index.php

 

Importância do controle

  É  importante que as pessoas tomem conhecimento da necessidade do controle da Displasia coxo-femural, e com isso exija o laudo radiografico dos pais do filhote, no laudo deve estar especificada a  graduação que ira determinar se o cão pode ou não acasalar.

 

 O que é displasia coxo-femoral ?

É uma doença do desenvolvimento, isto é, afeta o animal no seu crescimento, possuindo um caráter poligênico com forte influência do meio ambiente. Caracteriza-se pelaincongruência entre a cabeça femoral e a superfície acetabular.

 

 O que causa a doença ?

A etiologia da displasia não está bem definida, podendo ter origem por diversas causas. Sabe-se no entanto, que cruzamentos de pais displásicos determinam uma porcentagem de 50 à 60% de chance de procriar filhotes também displásicos, conferindo caráter congênito à doença. Observa-se ainda que a influência do meio ambiente pode acentuar a alteração articular associada a diversos fatores tais como: piso liso, obesidade dos filhotes, alimentação hiperproteica, postura dos filhotes durante a amamentação, traumas, etc.

 

Que raças são acometidas ?

A displasia está presente em quase todas as raças, sendo mais evidenciadas em raças grandes e gigantes de crescimento rápido, como o Rottweiler, Fila Brasileiro, São Bernardo, Pastor Alemão, Labrador, Golden Retriever, Dogue Alemão, entre outros.

 

Em que idade afeta o animal ?

Não existe uma idade pré determinada para o surgimento da doença, porém animais displásicos geralmente começam a desenvolver sintoma clássicos entre 5 e 9 meses de idade.

 

Como suspeitar de displasia ?

Filhotes que apresentem andar rebolante, claudicação, dor, região pélvica em postura inferior aos membros torácicos, tarsos deslocados medialmente (“jarrete de vaca”), andar saltitante semelhante ao do coelho, entre outras alterações, podem sugerir quadro de displasia coxo-femoral.

 

Como diagnosticar ?

Somente o exame radiográfico realizado dentro de normas técnicas adequadas pode confirmar os casos de displasia.

 

Existe cura para essa patologia articular ?

A displasia coxo-femoral não tem cura, porém possui tratamentos que podem ser diversos e dentro da experiência de cada profissional, abrangendo desde o tratamento clínico convencional com antinflamatórios e analgésicos associados à aminoácidos e/ou extratos de cartilagem e/ou ácido hialurônico, passando pela fisioterapia, acupuntura e em casos graves até a cirurgia.

 

O que fazer com o cão displásico ?

O animal com displasia coxo-femoral em termos comportamentais é igual a qualquer outro animal, não havendo necessidade de sacrificá-lo ou doá-lo. A recomendação para animais displásicos é retirá-lo da reprodução e se possível esterilizá-lo, já que essa doença possui caráter congênito.

 

Tabela das Graduações:

Os códigos utilizados no Brasil têm a seguinte leitura:

 

 
 

CÓDIGO

CLASS.

DISPLASIA CONSIDERADA

PARA REPRODUÇÃO

HD-
A
NORMAL
APTO
HD+/-
B
QUASE NORMAL
APTO
HD+
C
AINDA ACEITA
APTO
HD++
D
MODERADA A MÉDIA
NÃO APTO
HD+++
E
SEVERA A GRAVE
NÃO APTO
 
 


Os exames feitos no Brasil, são atribuídas graduações a cada uma das articulações, mas convencionou-se apresentar apenas a pior avaliação para designar o diagnóstico. Assim, quando a avaliação tenha resultado em HD- de um lado, e HD+/- de outro, para efeito de apresentação de seu grau de displasia, ele é classificado como HD+/-.

 

***Texto gentilmente cedido pelo Dr Danil Baudouin